2023年2月25日,由中國醫學裝備協會核醫學裝備與技術專業委員會主辦的“2022年核醫學分子影像新技術交流會” 在北京舉行,會議圍繞全球分子影像及核醫學大型設備新技術進行交流探討。永新醫療在會上展示了動物PET/SPECT/CT 一體機及SPECT/CT的MPH(多針孔)準直器,獲得與會專家的廣泛認可。
圖 動物PET/SPECT/CT產品匯報
在PET技術匯報環節,永新醫療產品市場經理王豐收詳細介紹了永新自主研發的臨床前分子影像成像系統——動物PET/SPECT/CT。該產品創新性實現了三模態一體化,采用PET和SPECT共享探測器設計,擁有雙層晶體+雙芯片等先進技術,在性能和穩定性方面表現突出。產品配有多針孔準直器,使SPECT空間分辨率和靈敏度顯著提升。動物PET/SPECT/CT支持的核素種類更多,科研適用性更強,能更好地促進醫學科研成果轉化及推動診療一體化發展。

圖 MPH(多針孔)準直器成像技術匯報
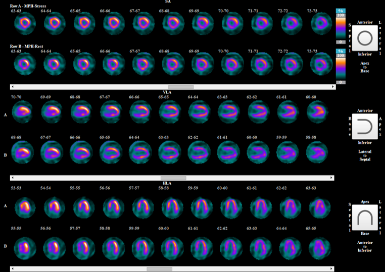
在SPECT技術匯報環節,永新醫療資深算法工程師高麗蕾介紹了永新自主研發的MPH(多針孔)準直器成像技術。其能夠在通用型SPECT設備上實現包括心臟、甲狀腺等器官三維/四維斷層數據快速采集,獲得高清顯像效果,為心臟血流動力學分析的硬件條件。期待這項技術能夠在我國核醫學領域獲得更加廣泛地臨床應用。

圖 永新MPH - 心肌灌注顯像采集

圖 永新MPH -甲狀腺3D采集
花開疫散,未來可期。大會在熱烈的核技術交流討論中圓滿結束,但核技術創新之路還在不斷繼續,永新醫療將持續深耕核醫學分子影像領域,依托國家高端醫療器械自主可控等戰略舉措,全力加速技術創新和國產化進程,為促進我國醫療器械領域整體進入國際先進行列提供科技支撐。